سندروم کلاین فلتر
سندروم کلاین فلتر: این سندروم مشکلی ژنتیکی است که در مردان بروز پیدا میکند و به معنی داشتن یک کروموزوم x اضافی است. این کروموزوم اضافی بر عملکرد جسمانی، رشدی، رفتاری و شناختی فرد تأثیر میگذارد و به آنها آسیب وارد میکند. به دلیل مشکلات گستردهای که این سندروم میتواند برای فرد ایجاد کند هر چقدر تشخیص آن زودتر انجام شود راحتتر میتوان با آسیبهای آن مبارزه کرد.
کلاین فلتر اختلالی کروموزومی است. که تنها مردان را درگیر خود میکند.
به طور کلی دو کروموزوم جنسیت جنین را تعیین میکند:
- کروموزوم x که از مادر به ارث برده میشود
- کروموزوم Y که از پدر به پسر منتقل میشود
در حالیکه اگر پدر هم به جای کروموزوم Y کروموزوم X را به فرزندش منتقل کند او دختر میشود. مردانی که به سندروم کلاین فلتر مبتلا هستند یک شکل کروموزومی آنها بهجای XY ، به صورت XXY است. این مشکل به واسطه خطا در زمان لقاح به وجود میآید که به واسطه آزمایش اختلالات کروموزومی قابل تشخیص می باشد.
تغییرات فیزیکی ناشی از سندرم کلاین فلتر
پسران و مردان مبتلا به سندروم کلاین فلتر معمولا دارای بیضه های کوچک که میزان کمی تستسترون ترشح میکنند میباشند.
تستسترون ، هورمونی است که تکوین جنسی مردانه را پیش از تولد و حین بلوغ پیش میبرد. بدون درمان ، کمبود تستسترون میتواند باعث تاخیر بلوغ یا بلوغ ناکافی ، بزرگی سینه ها ( ژینکوماستی ) ، کاهش توده عضلانی ، کاهش تراکم استخوان و کاهش میزان موی صورت و بدن شود. در نتیجه بیضه های کوچک و کاهش تولید هورمون ، مردان مبتلا عقیم هستند اما ممکن است از مزایای تکنولوژی های کمک باروری استفاده کنند.
برخی افراد مبتلا دارای تفاوت هایی در دستگاه تناسلی خود میباشند که میتوان به بیضه های نزول نیافته ( کریپتورکیدیسم ) ، قرار گرفتن سوراخ پیشابراه بر سطح تحتانی آلت تناسلی ( هیپوسپادیاس ) یا آلت تناسلی کوچک غیرطبیعی ( میکروپنیس ) اشاره کرد. دیگر تغییرات فیزیکی مرتبط با سندروم کلاین فلتر معمولا ظریف هستند.
کودکان با سن بالاتر و بزرگسالان مبتلا به بیماری تاحدی بلندتر از همتایان خود هستند. تفاوت های دیگر میتوانند شامل همجوشی غیرطبیعی استخوان های خاصی در بازو ( سینوستوز ساعد ) ، انحنای انگشت های کوچک دست ( کلینوداکتیلی انگشت پنجم ) و کف پای صاف باشند.
علائم سندروم کلاین فلتر و نشانهها
این سندروم از همان دوران نوزادی فرد را درگیر مجموعهای از علائم مخصوص به خود میکند و با تغییر دوره رشدی، علائم در هر دوره تغییر میکنند. در ادامه به علائم و نشانههای سندروم کلاین فلتر در هر یک از دورههای زندگی اشاره خواهیم کرد.
علائم سندروم کلاین فلتر در بدو تولد
شرایط این بیماری بهگونهای است که معمولاً در بدو تولد خود را نشان نمیدهد و نوزاد پسری که با این سندروم به دنیا میآید اغلب سالم به نظر میرسد. با این حال ممکن است در برخی مواردی علائم جسمانی خاصی ظهور پیدا کنند که این علائم موارد زیر را شامل میشود:
– آلت تناسلی کوچک
– داشتن بیضههایی کوچکتر از حد طبیعی
– قرار داشتن مجرای ادرار در پایین آلت تناسلی بهجای نوک آن
علائم سندروم کلاین فلتر در کودکی
سندروم کلاین فلتر در دوران کودکی تأثیرات بسیار بیشتری خواهد داشت. اما نمایانی علائم آن از خفیف تا شدید در بین بیماران متفاوت است. حتی برخی از پسران هستند که با وجود دچار بودن به این سندروم در کودکی هیچ علامتی از خود نشان نمیدهند.
پنهانی علائم سندروم کلاین فلتر و همپوشانی آنها با علائم سایر بیماریها تشخیص را برای متخصصین بسیار دشوار میسازد. علائم این سندروم در صورت بروز در دوران کودکی موارد زیر را شامل میشود:
– تأخیر در تکلم و راه رفتن
– اختلالات یادگیری و یا وجود مشکلاتی در یادگیری مثل دشواری در گوش دادن و تمرکز
– رشد و هماهنگی حرکتی ضعیف
– احساس ضعف و خستگی
– کاهش قدرت و انقباض عضلانی ( این مشکل خود میتواند به مشکلات ثانویهای نظیر آپنه یا قطع تنفس در خواب یا یبوست مزمن بیانجامد)
علائم سندروم کلاین فلتر در دوران بلوغ
سندروم کلاین فلتر معمولاً در دوران بلوغ تشخیص داده میشود. درواقع زمانی که تغییراتی که باید در جریان بلوغ برای پسر اتفاق بیفتد، رخ نمیدهد. برخی از علائم و نشانههای این سندروم موارد زیر را شامل میشود:
– داشتن بیضههای بسیار کوچک
– رشد کم مو در صورت و نواحی دیگر نظیر زیر بغل
– رشد عضلانی ضعیف
– رشد بافت سینه
– احساس ضعف و خستگی
– آلت تناسلی کوچک
– داشتن قدی بلندتر از حد معمول
– دستها و پاهای بسیار کشیده و نامتناسب با تنه
– تمرکز ضعیف
– وجود یک خط در کف دستان
– وجود دشواریهایی در عملکرد جنسی
– داشتن مشکلاتی در یادگیری و تکلم
– غمگینی، خلق پایین و افسردگی
پسران در این دوره به شدت بر بدن خود متمرکز میشوند، زیرا انتظار دارند تغییراتی که در بدن سایر پسرها در این دوره اتفاق میافتد برای آنها نیز رخ دهد. قرار گرفتن تحت درمان جایگزینی با تستوسترون در ایجاد این تغییرات میتواند مؤثر باشد.
علل سندروم کلاین فلتر
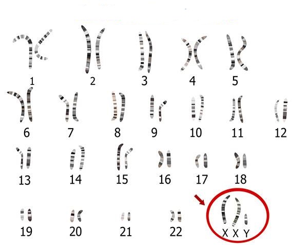
علل سندروم کلاین فلتر:سندروم کلاین فلتر یک اختلال کروموزوم جنسی در پسران و مردان میباشد که از وجود یک کروموزوم X اضافه در سلول ها نشات میگیرد. انسان ها معمولا دارای 46 کروموزوم در هر سلول خود میباشند ، دو کروموزوم از این کروموزوم ها کروموزوم های جنسی هستند.
افراد مونث دارای دو کروموزوم X ( 46,XX) و افراد مذکر دارای یک کروموزوم X و یک کروموزوم Y (46,XY) میباشند.
بیشتر مواقع ، پسران و مردان مبتلا به سندروم کلاین فلتر دارای کروموزوم های X و Y معمول به
همراه یک کروموزوم X اضافه میباشند و تعداد کل کروموزوم ها در هر سلول 47 عدد میباشد (47,XXY).
پسران و مردان مبتلا به سندروم کلاین فلتر دارای یک کپی اضافه از چندین ژن روی کروموزوم X میباشند.
فعالیت این ژن های اضافه ممکن است بسیاری از جنبه های تکوین از جمله تکوین جنسی
پیش از تولد و در زمان بلوغ را مختل کند و این موارد مسئول علائم شایع سندروم کلاین فلتر میباشند.
دانشمندان در حال تلاش برای تعیین ژن های درگیر در ایجاد تفاوت های فیزیکی و تکوینی ویژه ای هستند
که میتوانند همراه با سندروم کلاین فلتر ظاهر شوند.
برخی افراد دارای ویژگیهای سندروم کلاین فلتر دارای یک کروموزوم X اضافه تنها در برخی از سلول های خود هستند ؛
سلول های دیگر معمولا دارای یک کروموزوم X و یک کروموزوم Y هستند.
(ندرتا ، سلول های دیگر ممکن است دارای اختلالات کروموزومی دیگری باشند.)
در این افراد ، بیماری به عنوان سندروم کلاین فلتر موزائیک (۴۶,XY/47,XXY) توصیف میشود.
سندروم کلاین فلتر دارای فرم موزائیک
به نظر میرسد کمتر از ۱۰ درصد افراد مبتلا به سندروم کلاین فلتر دارای فرم موزائیک بیماری میباشند.
پسران و مردان مبتلا به سندروم کلاین فلتر موزائیک بسته به اینکه چه نسبتی از سلول هایشان دارای کروموزوم اضافه باشند
ممکن است دارای علائم ملایم تری نسبت به افرادی که کروموزوم X اضافه را در تمام سلول های خود دارند ، باشند.
چند بیماری ناشی از وجود بیش از یک کروموزوم جنسی اضافه در هر سلول گاهی به عنوان انواع سندروم کلاین فلتر شرح داده میشوند.
این بیماری ها شامل سندروم ۴۸,XXXY ، 48XXYY و 49,XXXXY میباشند.
همانند سندروم کلاین فلتر ، این بیماری ها تکوین جنسی مردانه را تحت تاثیر قرار میدهند
و میتوانند همراه با ناتوانی های ذهنی و اختلالات گفتار و توسعه زبان باشند.
گرچه ، ویژگیهای این بیماری ها شدیدتر از علائم سندروم کلاین فلتر میباشند و بخش های بیشتری از بدن را تحت تاثیر قرار میدهند.
زمانیکه پزشکان و محققان اطلاعات بیشتری در مورد تفاوت های بین این اختلالات کروموزوم جنسی کسب کنند ، آنها را به عنوان اختلالات جداگانه ای در نظر میگیرند.
درمان سندروم کلاین فلتر و الگوی توارث آن
درمان سندروم کلاین فلتر و الگوی توارث آن به شرح زیر است:
فراوانی سندروم کلاین فلتر
سندروم کلاین فلتر حدود ۱ در ۶۵۰ نوزاد پسر تازه متولد شده را تحت تاثیر قرار میدهد. این سندروم درمیان شایع ترین اختلالات کروموزوم جنسی قراد دارد که بیماری هایی هستند که در اثر تغییر در تعداد کروموزوم های جنسی ( کروموزوم X و کروموزوم Y ) ایجاد میشوند.
الگوی توارث سندروم کلاین فلتر
سندروم کلاین فلتر ارثی نیست ؛ اضافه شدن کروموزوم X اضافه طی تشکیل سلول های تولیدمثلی ( تخمک ها یا اسپرم ها ) در یکی از والدین فرد مبتلا رخ میدهد. طی تقسیم سلولی ، یک خطا به نام عدم انفصال از توزیع طبیعی کروموزوم های X در میان سلول های تولیدمثلی در حال تشکیل جلوگیری میکند. معمولا ، با تقسیم سلولی ، هر سلول تخمک یک کروموزوم X منفرد و هر سلول اسپرم یا یک کروموزوم X یا یک کروموزوم Y میگیرد. گرچه ، به علت عدم انفصال ، یک سلول تخمک یا اسپرم میتواند دارای یک کپی اضافه از کروموزوم X نیز باشد.
جنین کلاین فلتر
اگر یک سلول تخمک دارای یک کروموزوم X اضافه توسط یک سلول اسپرم دارای یک کروموزوم Y لقاح یابد ، کودک حاصل دارای سندروم کلاین فلتر خواهد بود. همینطور اگر یک سلول اسپرم دارای یک کروموزوم X و یک کروموزوم Y با یک تخمک دارای یک کروموزوم X منفرد لقاح یابد ، کودک حاصل دارای سندروم کلاین فلتر خواهد بود.
سندروم کلاین فلتر موزائیک (۴۶,XY/47,XXY) نیز ارثی نیست.
این سندروم به صورت یک اتفاق ناگهانی طی تقسیم سلولی در تکوین جنینی اولیه رخ میدهد.
در نتیجه ، برخی سلول های بدن دارای یک کروموزوم X و یک کروموزوم Y معمول میباشند (46,XY)
و سلول های دیگر دارای یک کپی اضافه از کروموزوم X (47,XXY) میباشند.
روشهای درمانی
تاکنون درمان مشخصی برای این سندروم مطرح نشده است. روشهای درمانی که در این سندروم به کار میروند جنبههایی از عملکرد فرد را که دچار آسیب شده بهبود میبخشد و برای او حمایت عاطفی فراهم میکند.
درمانهای رایجی که در سندروم کلاین فلتر مورد استفاده قرار میگیرد شامل موارد زیر است:
– درمانهای هورمونی
– استفاده از تکنولوژیهای کمک کننده به باروری
– استفاده از درمانهایی مثل گفتاردرمانی و کاردرمانی برای افزایش عملکرد گفتاری و حرکتی
– مشاوره روانشناسی و جلسات رواندرمانی.
جهت مشاهده پیج اینستاگرام مرکز تخصصی ژنتیک پزشکی ژن آزما کلیک کنید.
مطالعه بیشتر:
سندرم حاصل از ناهنجاری های کروموزومی
درمان یا مدیریت ناهنجاری های ژنتیکی




سلام عرض ادب خدمت تان
لطفن متن مقدمه درمورد اختلالا ت کروموزومی سندروم ترنر وکلاین فلتر را همراه با جمع بندی آن برایم بفرستید نهایت ضرورت دارم